Rev. FCA UNCuyo | 2026 | 58(1) | ISSN 1853-8665
Production and animal health
https://doi.org/10.48162/rev.39.201
Enterococcus gallinarum CRL 1826 as a Probiotic for Ranaculture: in vitro safety, Technological, and Physiological Properties
Enterococcus gallinarum CRL 1826 como probiótico para ranicultura: seguridad in vitro, propiedades tecnológicas y fisiológicas
María Andreína Acevedo1,
María Claudia Otero1,
María Constanza Lizárraga2,
Cesar Emmnuel Ale1,
Ricardo Javier Llanos2,
María Elena Nader-Macías3,
1 Instituto Superior de Investigaciones Biológicas (INSIBIO-CONICET). Chacabuco 461. T4000ILI. San Miguel de Tucumán. Argentina.
2 Universidad Nacional de Tucumán. Facultad de Bioquímica, Química y Farmacia. Instituto de Biología “Dr. Francisco D. Barbieri”. Chacabuco 461. T4000ILI. San Miguel de Tucumán. Argentina.
3 Centro de Referencia para Lactobacilos (CERELA-CONICET). Chacabuco 145. T4000ILC. San Miguel de Tucumán. Argentina.
* sergio.pasteris@fbqf.unt.edu.ar
Abstract
This study aimed to progress in designing a probiotic containing autochthonous Enterococcus gallinarum CRL 1826 for application during the life cycle of Lithobates catesbeianus in hatchery conditions. We assessed bacterial resistance to chemotherapeutics used in ranaculture, the presence of genes encoding virulence factors (VF) and vancomycin resistance, and bacterial survival and maintenance of beneficial properties after freeze-drying and storage. The strain exhibited resistance to antiseptics, sensitivity to most chemotherapeutics, presence of vanC, and absence of VF genes. It demonstrated resistance to freeze-drying and the highest survival when using skim milk+sucrose and storage at 4°C for 24 months. It also displayed bacteriocin activity against Listeria monocytogenes. Pre-lyophilized and lyophilized cultures grew/resisted individual gastrointestinal conditions and simulated gastrointestinal digestion, keeping bacteriocin activity and surface properties. For the first time, we demonstrated that E. gallinarum CRL 1826 is a safe bacterium with technological and physiological properties that would allow bullfrog gut colonization. These studies are essential for progressing towards selecting E. gallinarum CRL 1826 as a probiotic to prevent epizootics during bullfrog breeding and control foodborne bacteria, potentially improving growth performance of L. catesbeianus.
Keywords: Enterococcus gallinarum, safety characteristics, lyophilization, probiotics for aquaculture, bullfrog
Resumen
En este estudio se avanzó en el diseño de un probiótico con Enterococcus gallinarum CRL 1826, autóctono de Lithobates catesbeianus, para su aplicación durante el ciclo de vida de este anfibio en criaderos. Evaluamos: resistencia bacteriana a quimioterapéuticos utilizados en ranicultura, presencia de genes que codifican para factores de virulencia (FV) y resistencia a vancomicina, y sobrevida y mantenimiento de propiedades benéficas luego de la liofilización y almacenamiento. La cepa fue resistente a antisépticos, sensible a la mayoría de los quimioterapéuticos, posee el gen vanC y ausencia de genes de FV. Resistió la liofilización, con la mayor sobrevida con leche descremada+sacarosa durante su almacenamiento a 4°C, 24 meses. También presentó actividad bacteriocina frente Listeria monocytogenes. Los cultivos pre-liofilizados y liofilizados crecieron/resistieron en las condiciones individuales y luego de la digestión gastrointestinal simulada, manteniendo la actividad bactericiona y propiedades de superficie. Por primera vez, demostramos que E. gallinarum CRL 1826 es una bacteria segura con propiedades tecnológicas y fisiológicas que le permitirían colonizar el intestino de rana toro. Estos estudios permiten avanzar en la selección de E. gallinarum CRL 1826 como probiótico para prevenir epizootias durante la cría de rana toro, controlar bacterias transmitidas por alimentos y, potencialmente, mejorar el rendimiento de crecimiento de L. catesbeianus.
Palabras clave: Enterococcus gallinarum, características de seguridad, liofilización, probióticos para acuicultura, rana toro
Originales: Recepción: 17/09/2024 - Aceptación: 12/12/2024
Introduction
In aquaculture, ranaculture is committed to amphibian breeding. Over recent decades, ranaculture has experienced significant growth, driven by conservation efforts (46) and commercial interests.
The American bullfrog (Lithobates catesbeianus) provides meat for human consumption and various by-products such as gut, liver, adipose tissue oil, and carcasses (50). Additionally, L. catesbeianus is reared in captivity to obtain skin for the pharmaceutical industry as a source of biologically active molecules including biogenic amines, hormones (54), anti-tumor agents, antimicrobials, and antioxidants (22, 51).
Profitability of amphibian hatcheries is linked to animal health status, as demonstrated in other aquaculture activities (17). The microbiome includes the microbiota, microbial metabolites, and genetic elements (3), exerting physiological functions for the host, including maintenance of ecological equilibrium, immunological modulation, and infectious disease prevention (18). However, in intensive breeding systems like bullfrog production, with high animal densities and consequent crowded conditions, the microbiome may undergo modifications favoring epizootics caused by pathogens or potential pathogens that usually belong to native microbiota (31, 35, 36).
The Red-Leg Syndrome (RLS) represents a major infectious disease affecting bullfrog hatcheries, resulting in high mortality and significant economic losses (11). The RLS-related pathogens include Aeromonas hydrophila, Citrobacter freundii, Pseudomonas aeruginosa, and Proteus vulgaris, entering the host via the gastrointestinal tract or skin, and affecting the animals at different ages (55). Therapeutic and preventive measures often involve using antiseptics and antibiotics (19, 52). However, these procedures can affect native microbiota and contribute to antibiotic resistance (52). Consequently, a novel alternative introduces the application of probiotics to restore the microbiome (18).
Our research group has investigated the microbial population of bullfrog hatcheries, revealing that lactic acid bacteria (LAB) and RLS-related pathogens are part of the native microbiota of animals and hatchery environments (31, 35, 36). Among LAB, Lactococcus lactis CRL 1584, CRL 1827, Lactiplantibacillus plantarum CRL 1606, and Enterococcus gallinarum CRL 1826 were preselected as potential probiotics for ranaculture (31, 33, 36, 37, 38). However, E. gallinarum CRL 1826 emerged as a promising strain with antimicrobial activity against native RLS-related pathogens and Listeria monocytogenes (responsible for bullfrog meat spoilage), adhesion and colonization properties (31, 34), and in vivo safety when administered to bullfrog embryos (38). Nevertheless, additional studies are needed to fully validate the hypothesis that E. gallinarum CRL 1826 exhibits suitable properties as a probiotic for bullfrog breeding.
This study aimed to assess the in vitro safety profile to chemotherapeutics used in bullfrog farms, the presence of virulence factors and antibiotic-encoding genes, and the bacterial resistance and maintenance of beneficial properties after freeze-drying, storage, and exposure to gastrointestinal conditions.
Materials and Methods
Bacterial Strains and Culture Conditions
Enterococcus gallinarum CRL 1826 was isolated from healthy L. catesbeianus and identified by phenotypic and genotypic approaches (31). The LAB strain was grown on de Man, Rogosa & Sharpe (MRS) broth pH 6.8 (10 h at 37°C) in microaerophilia. Pseudomonas aeruginosa 1007 and 1047, and C. freundii CFb (RLS-related pathogens from ranaculture) were grown in nutritive broth pH 6.9 for 7 h, while L. monocytogenes Scott A was grown in BHI broth, pH 7.4 for 6 h (29, 34). All cultures were incubated at 37°C in microaerophilia. Bacterial strains were stored at -20°C in their specific growth media supplemented with 20% (v/v) glycerol.
Chemotherapeutics Resistance of Native Microorganisms from Bullfrog Hatcheries
Vancomycin resistance of E. gallinarum CRL 1826 was determined via the methodology proposed by “Clinical and Laboratory Standards Institute” (CLSI) (2015). The strain was grown in MRS broth (10 h at 37°C) and adjusted to an OD625nm of 0.08-0.10, corresponding with 0.5 of McFarland scale (0.5% BaSO4). Bacterial suspensions were seeded by spread on Müeller Hinton (MH) agar discs containing 30 μg vancomycin (Britania Laboratories, Argentina). The plates were incubated for 24 h at 37°C. Vancomycin susceptibility was determined by considering breakpoint values proposed by CLSI (2022). The MIC for vancomycin and other antibiotics (Amikacin, Ceftazidime, Ciprofloxacin, Chloramphenicol, Oxytetracycline, Penicillin), and Metronidazole (Britania Laboratories, Argentina) frequently applied in bullfrog hatcheries, was also determined via agar dilution method. Thus, antibiotic solutions were prepared to final concentrations in MH plates from 0.25 to 512 μg/mL. In each plate, 104 CFU/mL of the strain were inoculated and incubated at 37°C for 24 h. Susceptibility determination considered breakpoint values (8, 20, 48). Finally, we evaluated the MIC of P. aeruginosa strains, C. freundii, and L. monocytogenes to antiseptics (methylene blue, malachite green, benzalkonium chloride, CuSO4, KMnO4) commonly used in ranaculture (4). Final antiseptic concentrations in MH plates ranged from 0.25 to 16,384 μg/mL. Later, indicator strains were inoculated and incubated as previously indicated. The MIC was defined as the lowest antiseptic concentration completely inhibiting growth of the tested microorganisms.
Vancomycin Resistance and Virulence Factors Genes in E. gallinarum CRL 1826
For DNA isolation, cells from a 10 h culture of E. gallinarum on MRS broth were harvested (3,000 x g, 10 min, at 4°C), washed with TE buffer (10 mM Tris-HCl pH 8, 10 mM EDTA pH 8), and processed according to Pospiech and Neumann (1995). The polymerase chain reaction (PCR) technique amplified genes encoding vancomycin resistance (vanA, vanB, and vanC) and those for virulence factors (agg, gelE, esp, efa, and cylA) in E. gallinarum CRL 1826. Primers and PCR conditions are described in Supplementary Table S.1. The reaction mixture was prepared with DNA sample, 20 ng; PCR buffer 10X, 2.5 μL; MgCl2 (1.5 mM), 1.25 μL; dNTPs (200 μM), 1 μL each; Taq DNA polymerase (0.1 U/mL), 0.25 μL; primer forward/f/ and primer reverse/r/ (0.5 μM), 2.5 μL each; MilliQ water to achieve 25 μL.
10X PCR buffer: 200 mM Tris-HCl pH 8.4; 500 mM KCl.
A MyCycler thermal cycler from BioRad (BioRad, Richmond, California, USA) was used for the PCR reaction.
Separation of the amplification products was performed according to Sambrook and Gething (1989). The run was carried out with 1X TAE buffer (0.04 M Tris-Acetate; 1 mM EDTA, pH 8) by applying 85 V. A 1 Kb DNA Ladder (Invitrogen, Argentina) was used as a molecular weight marker. Gels were then stained with ethidium bromide (1 μg/mL) and DNA visualized with a U.V. light transilluminator (λ=320 nm).
Viability and Bacteriocin Activity of E. gallinarum CRL 1826 after Freeze-Drying and Storage
The LAB strain was grown in MRS (10 h at 37°C). Cells were harvested by centrifugation (3,000 x g, 10 min at 4°C), washed twice with sterile distilled water, and centrifuged. The pellets were re-suspended in lyoprotectants (w/v): 10% lactose (L), 10% sucrose (S), 10% skim milk (SM), 10% whey protein concentrate (WPC; Lacprodan 35, Arla-Foods Ingredients, Argentina), 5% L + 5% S (L-S), 5% SM + 5% L (SM-L), 5% SM + 5% S (SM-S), 5% WPC + 5% L (W-L), and 5% WPC + 5% S (W-S) to obtain ~1011 CFU/mL. Cells were also re-suspended in neutral sterile distilled water (control). Finally, samples were frozen at -20°C for 12 h, and lyophilized according to Montel Mendoza et al. (2014). Dried cells were distributed in glycogelatin capsules, packed in plastic bottles with silica gel, and stored at 4 and 25°C for 24 months. The number of viable cells (CFU) before and after freeze-drying was determined by the serial dilution method and plated on MRS agar (1.5% w/v). Cell viability for each lyoprotectant was expressed as Survival Factor (SF), and calculated as follows:
SF=1 - (Log CFUbefore - Log CFUafter) / Log CFUbefore
CFUbefore=CFU/mL x total culture volume (mL)
CFUafter=CFU/mL x [total weight pre-lyophilized sample (g) / weight lyophilized sample (g)]
Cell viability during storage was expressed as Survival Factor during t month of Storage (SFSt), and calculated as follows:
SFSt=1 - (Log CFU0 -Log CFUt) / Log CFU0
CFU0=initial CFU/g x total weight of dried sample (g); CFUt=t time CFU/g x total weight of dried sample (g).
The maintenance of bacteriocin activity of E. gallinarum CRL 1826 was determined after lyophilization and during storage by the plate dilution method (34). Thus, the LAB strain was inoculated in MRS broth, and incubated for 72 h at 37°C with subsequent cultures every 24 h. When cultures reached an OD⁓1.0 (540 nm), cell-free supernatants were obtained and stored (-20°C) until bacteriocin activity determination (33). The antimicrobial titer was defined as the reciprocal of the greatest two-fold dilution producing a clear inhibition zone of ~1 mm, expressed as arbitrary units per milliliter of culture supernatant (AU/mL). Besides, bacteriocin activity was expressed as relative activity to freeze-dryng (RA) and storage (RAS), and calculated by equations:
Growth and Viability of E. gallinarum CRL 1826 at Different pH Values, Bile Salts, and Digestive Enzymes
Assays were conducted with pre-lyophilized (PL) and lyophilized (L) (5% SM + 5% S) E. gallinarum CRL 1826 cells. Thus, 106 CFU/mL were inoculated in the following media: LAPTg broth at pH 2, 3, 4, 5, 6, 6.8 (optimal bacterial growth), 7, and 8; LAPTg broth + pepsin 0.05; 0.15; 0.3, and 0.6% at pH 2; LAPTg broth + bile 0.1; 0.3; 0.5; 1; 1.5; 3; 6, and 10% at pH 8, and LAPTg broth + pancreatin: 0.01; 0.05; 0.1; 0.15, and 0.2% at pH 8. Cultures were incubated at 37°C and bacterial growth was determined by optical density (OD540 nm) for 24 h. In media without OD changes, 109 CFU/mL were inoculated and incubated for 18 min at different pH and pepsin concentrations, 10 min with 1 to 10% bile, and 90 min with 0.3 to 0.5% bile. Subsequently, CFU/mL were determined on LAPTg agar (incubation at 37°C, 24 h, in microaerophilia) and a Survival Factor (SF) was calculated. Likewise, cells from each medium were grown as described, determining AU/mL.
Simulated Gastrointestinal Digestion Model
For these experiments, we considered the highest individual concentrations of each factor allowing high E. gallinarum CRL 1826 viability and bacteriocin activity, as well as gastrointestinal conditions reported for adult amphibians (47). Therefore, 109 CFU/mL of PL and L cultures were resuspended in PBS solution (pH 7.4) + pepsin 0.6%, and incubated for 90 min at 37°C. During this time, a gradual pH decrease (7.4 to 2) was induced using 1N HCl and samples were taken at 0, 30, 60, and 90 min (Phase 1: stages a, b, c, and d, respectively). Then, the suspensions were centrifuged and cells were resuspended in PBS solution pH 8 + 1% bile (OX-bile, FLUKA) for 10 min (Phase 2: stage e). Subsequently, cells were collected and inoculated in PBS solution pH 8 containing 0.3% bile + 0.1% pancreatin (SIGMA-ALDRICH), and samples were taken at 30, 60, and 90 min (Phase 3: f, g, and h, respectively). At each stage, SF and AU/mL were evaluated. Finally, surface properties (hydrophobicity and autoaggregation) were determined according to Niederle et al. (2019).
Statistical Analysis
Data processing was done using Minitab (30) and Infostat (13) softwares. Results are the average of three independent assays, evaluated by ANOVA or General Linear Models. When residuals showed a normal distribution, a post-test (at 0.05 significant levels) for multiple comparisons was performed. When assumptions were not met, nonparametric variance analysis was applied (Mood’s median test).
Results
Susceptibility to Antimicrobials of E. gallinarum CRL 1826, RLS-Related Pathogens, and L. monocytogenes
Table 1 shows MIC values for chemotherapeutics frequently used in bullfrog hatcheries.
Table 1. Minimum inhibitory concentration (μg/mL) of antimicrobials frequently used in ranaculture.
Tabla 1. Concentración inhibitoria mínima (μg/mL) de antimicrobianos frecuentemente utilizados en ranicultura.

a (7); b (20); c (48).
Based on breakpoint values, E. gallinarum CRL 1826 was sensitive to most antimicrobials except ceftazidime and metronidazole, whose MIC values were 512 and >512, respectively. Concerning vancomycin, the disc diffusion assay revealed that the LAB strain was sensitive (data not shown), and the MIC value below the breakpoint. Moreover, MIC of antiseptics for E. gallinarum CRL 1826, C. freundii, P. aeruginosa, and Listeria monocytogenes was also determined (table 2).
Table 2. MIC (μg/mL) of antiseptics frequently used in ranaculture.
Tabla 2. CIM (μg/mL) de antisépticos frecuentemente utilizados en ranicultura.

* Antiseptic concentrations used in bullfrog hatcheries (4).
* Concentraciones de antisépticos utilizados en la cría de rana toro (4).
Therefore, all strains showed MIC values greater than the dose usually used in ranaculture, excepting E. gallinarum CRL 1826 when using malachite green. Therefore, E. gallinarum CRL 1826 is sensitive to antibiotics and resistant to antiseptics used in bullfrog farms.
Vancomycin Resistance and Virulence Factors Genes in E. gallinarum CRL 1826
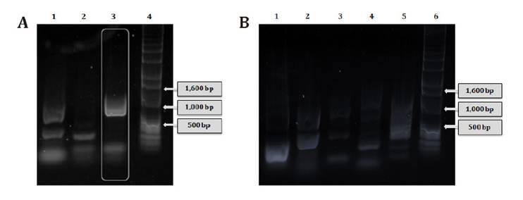
The presence of vanA, vanB, and vanC genes was determined by PCR amplification (figure 1A). In lane 3, an approximately 800 bp band was detected and matched with the amplification product of vanC gene (822 bp). Concerning virulence factor genes described for Enterococcus, the LAB strain did not display any tested factor (figure 1B) when compared to the standard band size (Supplementary, Table S.1). Thus, our results demonstrate that E. gallinarum CRL 1826 is a safe LAB strain.

(A) Genes de resistencia a vancomicina 1: producto de amplificación del gen vanA; 2: vanB; 3: vanC; 4: marcador de peso molecular de ADN de 1 Kb. (B) Genes de factores de virulencia. 1: agg; 2: cylA; 3: gelE; 4: esp; 5: efa; 6: marcador de peso molecular de ADN de 1 Kb.
Figure 1. Vancomycin resistance and virulence factor genes in E. gallinarum CRL 1826.
Figura 1. Genes de resistencia a vancomicina y de factores de virulencia en E. gallinarum CRL 1826.
Effect of the Drying Medium on Survival and Bacteriocin Activity to Lyophilization of E. gallinarum CRL 1826
We determined the freeze-drying resistance of the LAB strain using nine lyoprotectants. The three average SF values ranged between 0.81 to 0.97 (figure 2).

Figure 2. Viability (SF) and bacteriocin activity (RA) scatter plot of lyophilized E. gallinarum CRL 1826. WPC: whey protein concentrate.
Figura 2. Diagrama de dispersión de viabilidad (SF) y actividad bacteriocina (RA) de E. gallinarum CRL 1826 liofilizado. WPC: concentrado proteico de suero.
Optimal cell viability recuperation was detected in water, SM-L, WPC-L, L-S, WPC-S, and SM, with SF values from 0.93 to 0.97, without significant differences (p≤0.05, Fisher test). Bacteriocin production in lyophilized cultures was calculated as relative activity (RA) (table 3).
Table 3. Bacteriocin activity of lyophilized E. gallinarum CRL 1826.
Table 3. Actividad bacteriocina de E. gallinarum CRL 1826 liofilizado.

a-b: indicates significant differences (p>0.05); WPC: whey protein concentrate.
a-b: indica diferencias significativas (p>0,05). WPC: concentrado proteico de suero.
Thus, the nine lyoprotectant solutions increased RA values (0.11-0.37) when compared with those obtained in water (0.08) after freeze-drying (figure 2). However, the highest RA values were detected when the LAB strain was lyophilized in L (RA=0.35) and WPC-L (RA=0.37), without significant differences (p≤0.05, Fisher test). Considering RA and SF values, the optimal freeze-drying condition was WPC-L (figure 2). However, no correlation was found between both factors (Pearson correlation coefficient: 0.08).
Viability and Bacteriocin Activity of Lyophilized E. gallinarum CRL 1826 During Storage
Survival of freeze-dried cultures in different lyoprotectants during storage at 4°C was analyzed by general linear models (figure 3).

* Indicates significant differences compared to 1-month storage for each lyoprotectant (p>0.05).
WPC: whey protein concentrate.
* Indica diferencias significativas respecto del almacenamiento durante 1 mes para cada lioprotector (p>0,05).
WPC: concentrado proteico de suero.
Figure 3. Viability (SF) of lyophilized E. gallinarum CRL 1826 during 24 months of storage at 4°C.
Figura 3. Viabilidad (SF) de E. gallinarum CRL 1826 liofilizado y almacenado durante 24 meses a 4°C.
Therefore, cell viability values over 0.90 during 24 months were obtained in SM-S, without significant differences up to 12 months (p≤0.05). Cell viability for lyophilized LAB strain stored at 25°C was analyzed by Mood’s median test, where the general median value was 0.47 (figure 4).

WPC: whey protein concentrate.
WPC: concentrado proteico de suero.
Figure 4. Viability (SF) of lyophilized E. gallinarum CRL 1826 during 24 months storage at 25°C.
Figura 4. Viabilidad (SF) de E. gallinarum CRL 1826 liofilizado y almacenado durante 24 meses a 25°C.
Thus, after 24 months, viability was greater than the median when using SM and SM-S, with mean SF values of 0.72 and 0.49, respectively. In those cultures, dried in S, L, and SM-L, cell viability was only detected at 1-month storage (figure 4). Regarding bacteriocin production (RA), a Mood’s median test analyzed the freeze-dried cultures in different lyoprotectants and stored at 4 and 25°C (median: 0.14 and 0.006, respectively). Therefore, during 24 months of storage at 4°C the best RA values were obtained in WPC (figure 5), while at 25°C the greatest RA values were detected in SM and SM-S (figure 5).

(A):4°C; (B):25°C. WPC: whey protein concentrate.
(A):4°C; (B):25°C. WPC: concentrado proteico de suero.
Figure 5. Bacteriocin activity (RA) of lyophilized E. gallinarum CRL 1826 during 24 months storage.
Figura 5. Actividad bacteriocina (RA) de E. gallinarum CRL 1826 liofilizado durante 24 meses de almacenamiento.
Growth/resistance and Bacteriocin Activity of E. gallinarum CRL 1826 in Individual Gastrointestinal Conditions
Tests compared pre-lyophilized (PL) and lyophilized (L) bacterial cultures with the best lyophilisation matrix. Thus, PL cultures of E. gallinarum CRL 1826 grew ≥ 3 logarithmic units in LAPTg broth pH 5 to 8, 0.1% bile, and 0.01 to 0.2% pancreatin (table 4). In these conditions, the highest bacteriocin activities (79,600 AU/mL) were detected at pH 6.8 (control) and pH 7. Likewise, PL cultures resisted all tested conditions (SF=0.44-0.99) (table 4), except 6 and 10% bile for 10 min. Moreover, the highest bacteriocin activity (8,080 AU/mL) was determined with 1% bile for 10 min.
Table 4. Growth (Log CFU/mL), viability (SF) and bacteriocin activity (AU/mL) of pre-lyophilized (PL) and lyophilized (L) E. gallinarum CRL 1826 when subjected to individual gastrointestinal conditions.
Tabla 4. Crecimiento (Log CFU/mL), viabilidad (SF) y actividad bacteriocina (AU/mL) de E. gallinarum CRL 1826 preliofilizado (PL) y liofilizado (L) cuando se somete a condiciones gastrointestinales individuales.

a-b: indicates significant differences (p>0.05); NG: not grown; NT: not tested.
a-b: indica diferencias significativas (p>0,05); NG: sin crecimiento; NT: no testeado.
Lyophilized cultures (L) grew in a greater number of conditions. For example, LAPTg broth at pH 4, and 0.3-3% bile. Moreover, the highest bacteriocin activities (22,500 AU/mL) were detected with 0.1 and 0.3% bile (table 4). Also, L cultures resisted acid pH (2 and 3), 6 and 10% bile, and all pepsin concentrations. In these conditions, the highest bacteriocin activity (1,520 AU/mL) was determined at pH 2 for 18 min and was not detected with pepsin (table 4). Therefore, L cultures showed the greatest mean growth value (10.17 Log CFU/mL) and resistance (SF=0.83) significantly higher than for PL (8.50 Log CFU/mL and SF=0.73, respectively) (LSD Fisher, p>0.05).
Viability and Beneficial Properties of E. gallinarum CRL 1826 in a Simulated Gastrointestinal Digestion Model
Overall, LAB strain viability decreased during the simulated gastrointestinal digestion process. The L cultures showed higher viability values (mean SF=0.92) than PL (mean SF=0.82). Both PL and L cultures showed no significant differences in viability between stages b to d (Phase 1: pH 7.4 to 2.0 + pepsin 0.6%, 90 min). Moreover, the lowest viability values were observed at stages f to h (Phase 3: pH 8 + 0.3% bile + 0.1% pancreatin; 30, 60, and 90 min), where no significant differences were determined (p>0.05) (table 5).
Table 5. Viability (SF) and beneficial properties of pre-lyophilized (PL) and lyophilized (L) E. gallinarum CRL 1826 in a simulated gastrointestinal digestion model.
Tabla 5. Viabilidad (SF) y propiedades benéficas de E. gallinarum CRL 1826 preliofilizado (PL) y liofilizado (L) en un modelo de digestión gastrointestinal simulado.

Stages: a-d: gradual pH decrease of PBS solution (7.4 to 2) + pepsin 0.6%, 0, 30, 60, and 90 min; e: PBS solution pH 8 + 1% bile; f-g: PBS solution pH 8 containing 0.3% bile + 0.1% pancreatin, 30, 60, and 90 min. a-b: indicates significant differences (p>0.05).
AU/mL: bacteriocin activity; H: hydrophobicity; AA: autoaggregation.
Etapas: a-d: disminución gradual del pH de solución PBS (7,4 a 2) + pepsina 0,6%, 0, 30, 60 y 90 min; e: solución PBS pH 8 + bilis 1%; f-g: solución PBS pH 8 conteniendo bilis 0,3% + pancreatina 0,1%, 30, 60 y 90 min. a-b: indica diferencias significativas (p>0,05).
AU/mL: actividad bacteriocina; H: hidrofobicidad; AA: auto-agregación.
The highest bacteriocin activity (1,920 AU/mL) was observed in L cultures at stage “e” with significant differences at stages f and h (table 5). However, PL cultures presented lower activity during whole digestion, increasing slightly between stages f and h without significant differences (table 5). Concerning surface properties, hydrophobicity values did not show significant differences for PL or L cultures (table 5). The highest value was observed in L cultures (84.03%) at stage “c”, remaining above 52.17% during the assay. Moreover, auto-aggregation (AA) mean values in PL cultures (28.12%) were significantly higher than those observed for L cultures (16.62%), independently of sampling stage. The AA values were always higher at 4 h (table 5). Overall, opposite stages (a and h) exhibited no significant differences in any culture. The highest value (48.57%) was observed in PL cultures at stage “e” at 4 h, while the lowest value (7.83%) was detected in PL cultures at stage “f” at 1 h (table 5).
Discussion
Designing a probiotic product involves safety considerations (resistance to chemotherapeutics and absence of virulence factors), technological aspects (lyophilization and spray drying), and physiological studies (tolerance to host conditions such as pH, digestive enzymes, and bile) (2).
In high-scale aquaculture, chemotherapeutics could lead to resistance among pathogenic bacteria (52). Therefore, probiotics represent an alternative to chemotherapeutics reducing disease outbreaks (18).
Enterococcus genus presents both beneficial and technological properties for constituting probiotic products. However, this genus is not universally considered Generally Regarded As Safe (GRAS) given virulence factors and vancomycin resistance genes (2). Evaluating sensitivity and resistance to various antimicrobials, including vancomycin, is regulated (15). Moreover, microorganisms should not contain antimicrobial resistance genes that could be horizontally transferred to members of the autochthonous microbiota or potential pathogens (37).
According to their beneficial properties, E. gallinarum CRL 1826 from bullfrog was selected as a probiotic candidate for ranaculture (31, 33). The LAB strain showed antibiotic sensitivity, except for ceftazidime, related to the intrinsic resistance of Enterococcus to cephalosporins (12). Metronidazole sensitivity explains the antagonistic activity mainly on anaerobic bacteria (29).
Nowadays, vancomycin resistance genes in Enterococcus are associated with three well-defined phenotypes, according resistance degrees, induction, and transfer. Likewise, only the vanC gene is chromosomal, constitutive, and non-transferable (6). Enterococcus gallinarum CRL 1826 could be accepted as a safe strain since its vancomycin sensitiveness (MIC=4-32 mg/L), and only present vanC gene.
Considering that E. gallinarum is associated with infections in aquaculture (44), and that the esp gene was revealed in E. gallinarum from ready-to-eat seafood (21), we demonstrated the absence of virulence factors genes of the CRL 1826 strain supporting their GRAS characteristics.
Concerning antiseptics, E. gallinarum CRL 1826, RLS-related pathogens (C. freundii, P. aeruginosa), and L. monocytogenes resulted to be highly resistant to doses used in bullfrog hatcheries. Thus, we could hypothesize that the bioaugmentation with this LAB strain in hatchery conditions would eliminate the pathogens and potential pathogens by competitive exclusion or antibiosis (11, 34, 38).
Technologically, freeze-drying preserves cell viability and beneficial properties during probiotic product design, storage, and transport (32). Lyoprotectants, including sugars, amino acids, and proteinaceous compounds often mitigate cellular damage during freeze-drying (32).
Cocci generally exhibit greater resistance to lyophilization compared to bacilli. This can be explained by its low surface/volume ratio, as demonstrated in E. faecium, Streptococcus thermophilus, L. lactis subsp. lactis, and L. lactis subsp. cremoris strains (24). However, the behavior towards lyophilization is related to strain characteristics, such as an E. faecium strain (potential probiotic isolated from oysters) with low viability recovery in skim milk (36.2%) (25), while Romyasamit et al. (2022) demonstrated 96% of viability recovery for the same lyoprotectant in two E. faecium strains with probiotic potential for functional food, medicine, and feed industries. Enterococcus gallinarum CRL 1826 showed 93% viability recovery in skim milk and intrinsic resistance to lyophilization (water).
Regarding bacteriocin activity maintenance, we demonstrated a diminution of relative activity after lyophilization. However, antimicrobial titer values could be suitable for RLS-related pathogens and foodborne bacteria control (33).
As relative indices to initial lyophilization stages and storage, we defined survival and bacteriocin activity parameters (SF, RA). These parameters allowed data analysis independently of the initial values of viability and bacteriocin activity. Similar criteria were applied by Vera Pingitore et al. (2012) who studied a bacteriocin produced by Lactobacillus salivarius and evaluated specific activity after lyophilization and storage. Our study demonstrated a non-correlation between bacterial viability and bacteriocin activity, indicating that factors were differently affected by freeze-drying conditions. However, Jawan et al. (2022) verified a correlation between these two factors when analyzed as absolute values.
Despite lyoprotectants enhance survival during lyophilization, they may not provide protection during storage (9). Thus, the CRL 1826 strain viability decreased gradually and a total loss was observed at 25°C in L, S, and SM-L after one month of storage.
Skim milk+sucrose was the best lyoprotectant for E. gallinarum CRL 1826 strain during storage. In ranaculture, L. plantarum CRL 1606 lyophilized in SM-S showed high viability recovery at 4 and 25°C up to 18 months’ storage (31). The protein matrix added to sugars increased viability recovery concerning the individual components. Using SM would represent an extra source of proteins and carbohydrates for bullfrog feeding, considering that balanced feed used in hatcheries provides 40% of proteins (fish meal, meat meal, and milk powder).
Enterococcus gallinarum CRL 1826 kept its bacteriocin activity after lyophilization in SM and SM-S during 24 months’ storage at 4 and 25°C. These results are in agreement with Jawan et al. (2022) who demonstrated that Lactococcus lactis Gh1, isolated from an Iranian traditional flavor enhancer, maintained the ability to produce bacteriocin with various lyoprotectants during 2 months of storage at 4°C.
Adult bullfrog specimens have a developed gastrointestinal tract (GIT) that represents one entry route for RLS-related pathogens (35). Considering that probiotics must be applied in bullfrog hatcheries during life cycle and that these microorganisms must resist host conditions and reach the intestine for adhesion and colonization, we evaluated GIT restrictive conditions on viability and maintenance of beneficial properties of E. gallinarum CRL 1826. All studies were performed by considering physiological concentration ranges (47) in sequence, temperature, and time.
The pH affects growth factors transport across the cell membrane of LAB and antagonistic efficacy (14). In PL cultures of E. gallinarum CRL 1826 exposed for 18 min at pH 2, viability recovery was similar to initial values (SF=0.96), whereas PL cultures of Enterococcus avium, E. pseudoavium, and E. raffinosus (from carp) treated at pH 2.5 up to 5 h showed viability diminution around 2 log units (43).
Bacteriocins constitute an important competitive advantage for microorganisms, particularly interesting for bioinputs (40). The highest bacteriocin production by E. gallinarum CRL 1826 was detected at pH 6.8 and 7, and the lowest at pH 2. Bacteriocins are stable over a wide pH range, with high activity at neutral and basic pH (14). Thus, PL cultures of Pediococcus pentosaceus 1101, from fermented meat products, showed the highest bacteriocin activity at pH 5.5 and 7 (14).
Considering that pH/time interaction and pepsin presence could affect bacterial survival (26), we observed that pepsin diminished E. gallinarum CRL 1826 growth of PL and L cultures, probably given by enzymatic action since viability values were lower than those obtained at pH 2 (table 4) (LSD Fisher, p>0.05).
Bile significantly affects protein and DNA and participates in the emulsification of fats and cell membranes (49). Our bile concentration ranged from 0.1 to 10%. Thus, PL and L cultures of E. gallinarum CRL 1826 maintained viability up to 90 min in 0.5% bile. In this sense, different behaviors have been reported for PL cultures of aquaculture enterococci. Some resisted up to 3 h (40) while others perished after 4 and 24 h (5, 27) with 0.3% bile. Pereira et al. (2018) measured OD 630 nm, and reported that PL cultures of L. plantarum strains, isolated from bullfrog hatcheries, tolerated 5% bile for 24 h. Nevertheless, PL cultures of E. gallinarum CRL 1826 resisted 0.5% bile for 90 min, while L cultures resisted 10% bile for 10 min.
Pancreatin from porcine pancreas contains proteases, lipase, and amylase, that cleave specific molecules for their assimilation (10). This enzyme complex could affect E. gallinarum CRL 1826 and, consequently, its probiotic effect. However, we observed that PL and L cultures of the LAB strain grew in all concentration ranges (0.01-0.2%) tested.
When E. gallinarum CRL 1826 was subjected to simulated gastrointestinal digestion, we observed that L cultures over-performed (growth/resistance, bacteriocin activity, and surface properties maintenance) than PL cultures. This behavior could relate to a protective effect of the freeze-drying matrix (SM-S) that would interfere with gastrointestinal conditions as reported for a L. rhamnosus strain (28). Moreover, some authors postulate an adaptation mechanism of probiotics called “cross-protection”, occurring when microorganisms are pre-adapted and gain greater tolerance towards different types of stress than the original (1, 16). In our experimental conditions, lyophilization of E. gallinarum CRL 1826 could act as a pre-adaptation process improving bacterial survival to simulated gastrointestinal digestion.
Finally, PL and L cultures of E. gallinarum CRL 1826 maintained hydrophobicity and auto-aggregation when subjected to the simulated gastrointestinal digestion model that would enhance its capability of gut colonization.
Conclusion
Enterococcus gallinarum CRL 1826 exhibits promising characteristics as a probiotic for bullfrog hatcheries, offering viability and bacteriocin activity even after lyophilization and under simulated gastrointestinal conditions. These properties, combined with its safety profile, make it a potential solution for preventing RLS outbreaks and controlling foodborne bacteria, with potential benefits for bullfrog growth performance.
Acknowledgements, financial support, and full disclosure
Financial support from Consejo de Investigaciones de la Universidad Nacional de Tucumán (PIUNT D-528) and Agencia Nacional de Promoción Científica y Tecnológica (PICT 2017-2244) are gratefully acknowledged.
The authors declare that they have no known competing financial interests or personal relationships that could have appeared to influence the work reported in this paper.
1. Anglenius, H.; Mäkivuokko, H.; Ahonen, I.; Forssten, S. D.; Wacklin, P.; Mättö, J.; Lahtinen, S.; Lehtoranta, L.; Ouwehand, A. C. 2023. In vitro screen of lactobacilli strains for gastrointestinal and vaginal benefits. Microorganisms. 11(2): 329. https://doi. org/10.3390/microorganisms11020329
2. Barzegar, H.; Alizadeh Behbahani, B.; Falah, F. 2021. Safety, probiotic properties, antimicrobial activity, and technological performance of Lactobacillus strains isolated from Iranian raw milk cheeses. Food Sci. Nutr. 9(8): 4094-4107. https://doi.org/10.1002/fsn3.2365
3. Berg, G.; Rybakova, D.; Fischer, D.; Cernava, T.; Vergès, M. C. C.; Charles, T.; Chen, X.; Cocolin, L.; Eversole, K.; Herrero Corral, G.; Kazou, M.; Kinkel, L.; Lange, L.; Lima, N.; Loy, A.; Macklin, J. A.; Maguin, E.; Mauchline, T.; McClure, R.; Mitter, B.; Ryan, M.; Sarand, I.; Smidt, H.; Schelkle, B; Roume, H.; Kiran, G. S.; Selvin, J.; Soares Correa de Souza, R.; van Overbeek, L; Singh, B. K.; Wagner, M.; Walsh, A.; Sessitsch, A.; Schloter, M. 2020. Microbiome definition re-visited: old concepts and new challenges. Microbiome. 8: 1-22. https://doi.org/10.1186/s40168- 020-00875-0
4. Bühler, M. I.; Sánchez Toranzo, G.; Zaltz, S. 2000. La ranicultura: una alternativa productiva. Top. Graph. Argentina.
5. Cai, X.; Wen, J. S.; Long, H.; Ren, W.; Zhang, X.; Huang, A. Y.; Xie, Z. Y. 2022. The probiotic effects, dose, and duration of lactic acid bacteria on disease resistance in Litopenaeus vannamei. Aquac. Rep. 26: 101299. https://doi.org/10.1016/j.aqrep.2022.101299
6. CDC. Vancomycin-Resistant Enterococci (VRE) and the Clinical Laboratory HAI CDC. 2020. https:// www.cdc.gov/hai/settings/lab/vreclinical-laboratory.html.
7. Clinical and Laboratory Standards Institute. Methods for antimicrobial dilution and disk susceptibility testing of infrequently isolated or fastidious bacteria 3rd ed. CLSI guideline M45. 2015. Clinical and Laboratory Standards Institute. Wayne. PA. USA.
8. Clinical and Laboratory Standards Institute. Performance standards for antimicrobial susceptibility testing, 32nd ed. CLSI guideline M100. 2022. Wayne. PA. USA.
9. Crowe, J. H.; Crowe, L. M.; Carpenter, J. F.; Wistrom, C. A. 1987. Stabilization of dry phospholipid-bilayers and proteins by sugars. Biochem. J. 242(1): 1-10. https://doi.org/10.1042/ bj2420001
10. Dehkordi, R. A. F.; Karimi, I.; Karimi, B.; Eshkaftaki, R. G.; Abtahi, R.; Mohammadi, H. 2023. Effect of pancreatin on acute pancreatitis resulting from L-arginine administration in mice, a morpho-histopathological and biochemical study. Braz. J. Pharm. Sci. 59: e21494. https:// doi.org/10.1590/s2175-97902023e21494
11. Densmore, C. L.; Green, D. E. 2007. Diseases of amphibians. ILAR J. 48(3): 235-254. https://doi. org/10.1093/ilar.48.3.235
12. De Oliveira, D. M.; Forde, B. M.; Kidd, T. J.; Harris, P. N.; Schembri, M. A.; Beatson, S. A.; Paterson, D. L.; Walker, M. J. 2020. Antimicrobial resistance in ESKAPE pathogens. Microbiol. Rev. 33(3): e00181-19. https://doi.org/10.1128/cmr.00181-19
13. Di Rienzo, J. A.; Casanoves, F.; Balzarini, M. G.; Gonzalez, L.; Tablada, M. R. C. W.; Robledo, C. W. 2020. InfoStat versión 2020. Centro de Transferencia InfoStat, FCA, Universidad Nacional de Córdoba, Argentina. URL http://www. infostat. com. ar
14. Escobar-Sánchez, M.; Carrasco-Navarro, U.; Juárez-Castelán, C.; Lozano-Aguirre, L.; Pérez-Chabela, M. L.; Ponce-Alquicira, E. 2022. Probiotic properties and proteomic analysis of Pediococcus pentosaceus 1101. Foods. 12(1): 46. https://doi.org/10.3390/ foods12010046
15. European Food Safety Authority Panel on Additives and Products or Substances used in Animal Feed (FEEDAP). 2018.efsa.2018.5206
16. Fiocco, D.; Longo, A.; Arena, M. P.; Russo, P.; Spano, G.; Capozzi, V. 2020. How probiotics face food stress: They get by with a little help. Crit. Rev. Food Sci. Nutr. 60(9): 1552-1580. https:// doi.org/10.1080/10408398.2019.1580673
17. Garza, M.; Mohan, C. V.; Rahman, M.; Wieland, B.; Häsler B. 2019. The role of infectious disease impact in informing decision-making for animal health management in aquaculture systems in Bangladesh. Prev. Vet. Med. 167: 202-213. https://doi.org/10.1016/j. prevetmed.2018.03.004
18. Gloor, G. B.; Reid, G. 2016. Compositional analysis: a valid approach to analyze microbiome high-throughput sequencing data. Can. J. Microbiol. 62(8): 692-703. https://doi.org/10.1139/ cjm-2015-0821
19. Hadfield, C. A.; Whitaker, B. R. 2005. Amphibian emergency medicine and care. Seminars in avian and exotic pet medicine. 14(2): 79-89. https://doi.org/10.1053/j.saep.2005.04.003
20. Hidano, A.; Yamamoto, T.; Hayama, Y.; Muroga, N.; Kobayashi. S.; Nishida, T.; Tsutsui, T. 2015. Unraveling antimicrobial resistance genes and phenotype patterns among Enterococcus faecalis isolated from retail chicken products in Japan. PloS One. 10(3): e0121189. https:// doi.org/10.1371/ journal.pone.0121189
21. Igbinosa, E. O.; Beshiru, A. 2019. Antimicrobial resistance, virulence determinants, and biofilm formation of Enterococcus species from ready-to-eat seafood. Front. Microbiol. 10: 728. https://doi.org/ 10.3389/fmicb.2019.00728
22. Indriani, S.; Sae Leaw, T.; Benjakul, S.; Quan, T. H.; Karnjanapratum, S.; Nalinanon, S. 2022. Impact of different ultrasound-assisted processes for preparation of collagen hydrolysates from Asian bullfrog skin on characteristics and antioxidative properties. Ultrason. Sonochem. 89: 106163. https://doi.org/ 10.1016/j.ultsonch.2022.106163
23. Jawan, R.; Abbasiliasi, S.; Tan, J. S.; Kapri, M. R.; Mustafa, S.; Halim, M. 2022. Influence of type and concentration of lyoprotectants storage temperature and storage duration on cell viability and antibacterial activity of freeze-dried lactic acid bacterium Lactococcus lactis Gh1. Dry. Technol. 40(9): 1774-1790. https://doi.org/ 10.1080/07373937.2021.1874968
24. Kandil, S.; El Soda, M. 2015. Influence of freezing and freeze drying on intracellular enzymatic activity and autolytic properties of some lactic acid bacterial strains. Adv. Microbiol. 5: 371-382. https://doi.org/ 10.4236/aim.2015.56039
25. Kang, C. H.; Gu, T.; So, J. S. 2018. Possible probiotic lactic acid bacteria isolated from oysters (Crassostrea gigas). Probiotics Antimicrob. Proteins. 10(4): 728-739. https://doi.org/ 10.1007/s12602-017-9315-5
26. Ko, H. I.; Jeong, C. H.; Hong, S. W.; Eun, J. B.; Kim, T. 2022. Optimizing conditions in the acid tolerance test for potential probiotics using response surface methodology. Microb. Spectrum. 10(4): e01625-22. https://doi.org/10.1128/spectrum.01625-22
27. Maji, U. J.; Mohanty, S.; Mahapatra, A. S.; Maiti, N. K. 2016. Diversity and probiotic potentials of putative lactic acid bacteria for application in freshwater aquaculture. Turkish J. Fish Aquat. Sci. 16: 805-818. https://doi.org/10.4194/1303-2712-v16_4_07
28. Melchior, S.; Marino, M.; Innocente, N.; Calligaris, S.; Nicoli, M. C. 2020. Effect of different biopolymer-based structured systems on the survival of probiotic strains during storage and in vitro digestion. J. Sci. Food Agric. 100: 3902-3909. https://doi.org/10.1002/ jsfa.10432
29. Mendes, S. D. N. C.; Esteves, C. M.; Mendes, J. A. V.; Feres, M.; Figueiredo, N.; de Miranda, T. S.; Shibli, J. A.; Figueiredo, L. C. 2023. Systemic antibiotics and chlorhexidine associated with periodontal therapy: Microbiological effect on intraoral surfaces and saliva. Antibiotics. 12(5): 847. https://doi.org/ 10.3390/antibiotics12050847
30. Minitab, LLC. 2018. Statistical (versión 2018) [Software]. www.minitab.com
31. Montel Mendoza, G.; Pasteris, S. E.; Ale, C. E.; Otero, M. C.; Bühler, M. I.; Nader Macías, M. E. 2012. Cultivable microbiota of Lithobates catesbeianus and advances in the selection of lactic acid bacteria as biological control agents in raniculture. Res. Vet. Sci. 93: 1160-1167. https:// doi.org/ 10.1016/j.rvsc.2012.05.007
32. Montel Mendoza, G.; Pasteris, S. E.; Otero, M. C., Nader Macías, M. E. F. 2014. Survival and beneficial properties of lactic acid bacteria from raniculture subjected to freeze-drying and storage. J. Appl. Microbiol. 116: 157-166. https://doi.org/ 10.1111/jam.12359
33. Montel Mendoza, G.; Ale, C. E.; Nader Macías, M. E. F.; Pasteris, S. E. 2015. Characterization of a bacteriocin produced by Enterococcus gallinarum CRL 1826 isolated from captive bullfrog: evaluation of its mode of action against Listeria monocytogenes and Gram-negatives. J. Bioprocess Biotech. 5: 250-256. https://doi.org/ 10.4172/2155-9821.1000250
34. Niederle, M. V.; Bosch, J.; Ale, C. E.; Nader Macías, M. E.; Aristimuno Ficoseco, C.; Toledo, L. F.; Valenzuela, Sánchez, A.; Soto Azat, C.; Pasteris, S. E. 2019. Skin-associated lactic acid bacteria from North American bullfrogs as potential control agents of Batrachochytrium dendrobatidis. PLoS One. 14(9): e0223020. https://doi.org/ 10.1371/journal. pone.0223020
35. Pasteris, S. E.; Bühler, M. I.; Nader Macías, M. E. 2006. Microbiological and histological studies in farmed-bullfrog (Rana catesbeiana) displaying red-leg syndrome. Aquaculture. 251: 11-18. https://doi.org/ 10.1016/j.aquaculture.2005.05.007
36. Pasteris, S. E.; Roig Babot, G.; Otero, M. C.; Nader Macías, M. E. 2009. Beneficial properties of lactic acid bacteria isolated from a Rana castesbeiana hatchery. Aquac. Res. 40: 1605-1615. https://doi.org/10.1111/j.1365-2109.2009.0226.x
37. Pasteris, S. E.; Vera Pingitore, E.; Roig Babot, G.; Otero, M. C.; Bühler, M. I.; Nader Macías, M. E. 2009. Characterization of the beneficial properties of lactobacilli isolated from bullfrog (Rana catesbeiana) hatchery. Antonie van Leeuwenhoek. 95: 375-385. https://doi. org/10.1007/s10482-009-9329-4
38. Pasteris, S. E.; Montel Mendoza, G.; Llanos, R. J.; Pucci Alcaide, F.; Nader Macías, M. E. F. 2017. Preliminary assessment of in vivo safety of potentially probiotic lactic acid bacteria for American bullfrog culture. Aquac. Res. 48(5): 2157-2172. https://doi.org/ 10.1111/ are.13053
39. Pereira, S. A.; Jerônimo, G. T.; Marchiori, N. C.; Oliveira, H. M.; Jesus, G. F. A.; Schmidt, E. C.; Bouzon, Z. L.; Vieira, F. N.; Martins, M. L.; Mouriño, J. L. P. 2018. Tadpoles fed supplemented diet with probiotic bacterium isolated from the intestinal tract of bullfrog Lithobates catesbeianus: Haematology, cell activity and electron microscopy. Microb. Pathog. 114: 255-263. https:// doi.org/10.1016/j.micpath.2017.11.033
40. Pereira, W. A.; Mendonça, C. M. N.; Urquiza, A. V.; Marteinsson, V.; LeBlanc, J. G.; Cotter, P. D.; Villalobos, E. F.; Romero, J.; Oliveira, R. P. 2022. Use of probiotic bacteria and bacteriocins as an alternative to antibiotics in aquaculture. Microorganisms. 10(9): 1705. https://doi. org/10.3390/microorganisms10091705
41. Pospiech, A.; Neumann, B. 1995. A versatile quick-prep of genomic DNA from Gram-positive bacteria. Trends Genet. 11: 217-218.
42. Romyasamit, C.; Saengsuwan, P.; Boonserm, P.; Thamjarongwong, B.; Singkhamanan, K. 2022. Optimization of cryoprotectants for freeze-dried potential probiotic Enterococcus faecalis and evaluation of its storage stability. Dry. Technol. 40(11): 2283-2292. https://doi.org/1 0.1080/07373937.2021.1931294
43. Sahoo, T. K.; Jena, P. K.; Nagar, N.; Patel, A. K.; Seshadri, S. 2015. In vitro evaluation of probiotic properties of lactic acid bacteria from the gut of Labeo rohita and Catla catla. Probiotics Antimicrob. Proteins. 7(2): 126-136. https://doi.org/10.1007/s12602-015-9184-8
44. Salama, S. A. E. H. 2022. Bacterial pathogens causing the blue crab (Callinectes sapidus) mortality at Suez Canal (El-Temsah Lake) in Ismailia Governorate. Egypt J. Aquat. Biol. Fish. 26(2): 151-168. https://doi.org/10.21608/ejabf.2022.226167
45. Sambrook, J.; Gething, M. J. 1989. Protein structure Chaperones paperones. Nature. 342(6247): 224-225.
46. Silla, A. J.; Calatayud, N. E.; Trudeau, V. L. 2021. Amphibian reproductive technologies: approaches and welfare considerations. Conserv. Physiol. 9(1): coab011. https://doi.org/10.1093/ conphys/coab011
47. Stevens, E. C.; Hume, I. D. 1995. Digestion of carbohydrate, lipids and protein. In Comparative Physiology of the Vertebrate Digestive System. 152-171. Cambridge Academic Press 2nd ed.
48. Stone, G. G.; Newell, P.; Bradford, P. A. 2018. In vitro activity of ceftazidime-avibactam against isolates from patients in a phase 3 clinical trial for treatment of complicated intra-abdominal infections. Antimicrob. Agents. Chemother. 62(7): e02584-17. https://doi.org/10.1128/ aac.02584-17
49. Szopa, K.; Szajnar, K.; Pawlos, M.; Znamirowska-Piotrowska, A. 2023. Probiotic fermented goat’s and sheep’s milk: effect of type and dose of collagen on survival of four strains of probiotic bacteria during simulated in vitro digestion conditions. Nutrients. 15(14): 3241. doi:10.3390/ nu15143241
50. Teixeira, R. D.; Mello, S. C. P.; dos Santos, C. A. L. 2001. The world market for frog legs. Food and Agriculture Organization of the United Nations, GLOBEFISH. Fishery Industries Division. 68: 1-44.
51. Timmons, P. B.; Hewage, C. M. 2021. Conformation and membrane interaction studies of the potent antimicrobial and anticancer peptide palustrin-Ca. Sci. Rep. 11(1): 22468. https://doi. org/10.1038/s41598-021-01769-3
52. Tong, Q.; Cui, L. Y.; Bie, J.; Han, X. Y.; Hu, Z. F.; Wang, H. B.; Zhang, J. T. 2021. Changes in the gut microbiota diversity of brown frogs (Rana dybowskii) after an antibiotic bath. BMC Vet. Res. 17(1): 1-13. https://doi.org/10.1186/s12917-021-03044-z
53. Vera Pingitore, E.; Bru, E.; Nader Macías, M. E. 2012. Effect of lyophilization and storage temperature on the activity of salivaricin CRL 1328, a potential bioactive ingredient of a urogenital probiotic product. J. Gen. Appl. Microbiol. 58(2): 71-81. https://doi.org/10.2323/ jgam.58.71
54. Wang, H.; Zhou, N.; Zhang, R.; Wu, Y.; Zhang, R.; Zhang, S. 2014. Identification and localization of gastrointestinal hormones in the skin of the bullfrog Rana catesbeiana during periods of activity and hibernation. Acta Histochem. 116(8): 1418-1426. https://doi.org/10.1016/j. acthis.2014.09.005
55. Yang, P.; Zheng, Y.; Zou, X.; Sun, Y.; Liu, Y. 2023. Comparative transcriptomic analysis of gene expression profiles in the liver and spleen of American bullfrog (Lithobates catesbeianus) in response to Citrobacter freundii infection. J. World Aquac. Soc. 55(1): 1-20. https://doi. org/10.1111/jwas.12999